Dents Inclinées Vers L Intérieur

Dents Inclinées Vers L Intérieur. Ecole Primaire Publique de Vincy Les dents Dents, Santé buccodentaire, Dentaire Il existe plusieurs types de malocclusion dentaire résultant de : une mauvaise position des dents (malposition. Quand des molaires ou prémolaires ne sont pas en contact pendant l'occlusion, ou s'engrènent mal, et/ou quand les dents de devant se positionnent mal (trop en avant ou trop en arrière), on parle alors de malocclusion

La carie dentaire Origine, conséquences et traitement. dentaire cherkaoui
La carie dentaire Origine, conséquences et traitement. dentaire cherkaoui from cabinetdentairecherkaoui.com

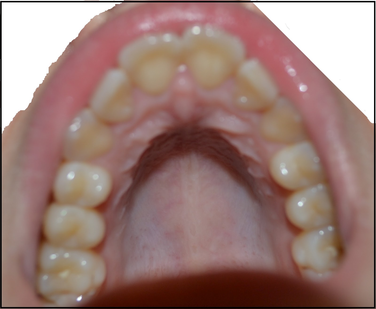
Nous parlons de problème d'occlusion dentaire (ou de « malocclusion ») lorsque les dents sont mal positionnées : il peut y avoir des chevauchements, des rotations ou encore des écarts trop importants entre les dents.En outre, les arcades inférieures et supérieures peuvent ne pas s'emboîter correctement. Outre les problèmes d'occlusion et d'esthétique, si celle-ci n'est pas traitée à temps, la malocclusion peut entraîner des douleurs articulaires et même des problèmes de développement de la parole chez les enfants.

La carie dentaire Origine, conséquences et traitement. dentaire cherkaoui

Nous parlons de problème d'occlusion dentaire (ou de « malocclusion ») lorsque les dents sont mal positionnées : il peut y avoir des chevauchements, des rotations ou encore des écarts trop importants entre les dents.En outre, les arcades inférieures et supérieures peuvent ne pas s'emboîter correctement. Parmi les maladies bucco-dentaires que l'orthodontie peut traiter, se trouve la malocclusion dentaire Les malpositions dentaires sont classifiées selon leur nature

Incisive supérieure et inférieure. Occlusion idéale avec engrènement des molaires et prémolaires Outre les problèmes d'occlusion et d'esthétique, si celle-ci n'est pas traitée à temps, la malocclusion peut entraîner des douleurs articulaires et même des problèmes de développement de la parole chez les enfants.

Le déplacement des dents en orthodontie Bücco. Quand des molaires ou prémolaires ne sont pas en contact pendant l'occlusion, ou s'engrènent mal, et/ou quand les dents de devant se positionnent mal (trop en avant ou trop en arrière), on parle alors de malocclusion Les malpositions dentaires sont classifiées selon leur nature